Your Brightest Smile, Engineered To Last A Lifetime
The only system proven to lighten teeth up to 16 shades

Unlock The True Brilliance Of Your Enamel
You may have already tried whitening strips or toothpastes that promise dramatic changes but barely make a dent. It is frustrating to spend money on products that only clean the surface without changing the intrinsic color of the tooth. Dr. Pate knows that true transformation requires more than just scrubbing the enamel.
At Hope Dental, we use the KöR® Whitening System because it addresses the biology of the tooth. Unlike UV lights or shelf-stable gels that lose effectiveness before you even open the box, KöR restores the ability of your enamel to absorb oxygen. This allows the whitening factors to dissolve stain molecules deep inside the tooth structure for a result that is both dramatic and permanent.
Maximum Strength, Minimum Sensitivity
Sensitivity and inconsistent results often stem from the chemical stabilizers used to preserve standard whitening gels at room temperature. KöR eliminates this issue entirely through its unique "Cold Chain" delivery system. By keeping the gels constantly refrigerated from manufacture to application, the formula retains 100% potency without the need for harsh additives. This ensures you receive the most powerful whitening treatment available, free from the "zinging" discomfort common with other brands.
The Engineering Of The KöR-Seal™ Tray
Effective whitening requires the gel to stay on the teeth for hours at a time. The problem with standard trays is that they allow saliva to seep in. Saliva contains an antioxidant enzyme that breaks down peroxide on contact, which neutralizes the whitening gel within minutes. Dr. Pate utilizes KöR-Seal™ Trays to solve this engineering flaw.
- A Vacuum-Like Seal: We take highly precise impressions to fabricate a tray that seals tightly against the gumline.
- Extended Activity: This seal locks saliva out and keeps the whitening gel active for 6 to 10 hours of overnight wear.
- Comfortable Sleep: The trays are made of a thin, flexible vinyl that does not feel bulky. You can sleep soundly while the oxygenation process works on your enamel.
Your Path To Permanent Results
We do not hand you a box and send you on your way. Dr. Pate oversees your progress to ensure you get the permanent results KöR is famous for.
1. The Assessment
We begin by checking your current shade and the health of your gums. Dr. Pate will look for any existing restorations, like crowns or fillings, that will not change color so we can plan ahead for a uniform smile.
2. Precision Molding
We take detailed molds of your teeth. This step is critical because the precise fit of the KöR-Seal™ tray determines the success of the treatment.
3. The Oxygenation Phase
You will wear your custom trays at home while you sleep for two weeks. During this phase, oxygen bubbles enter the enamel rods to break down large stain molecules. This process is so effective it is the only system proven to whiten difficult tetracycline stains.
4. Locking It In
Once you achieve the shade you want, the results are permanent. You simply need to perform periodic maintenance at home to keep the enamel channels clean. This allows you to keep your white smile for life, even if you continue to enjoy coffee or tea.
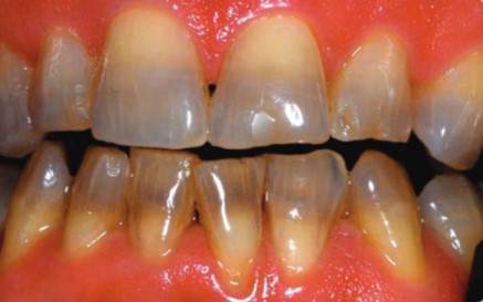
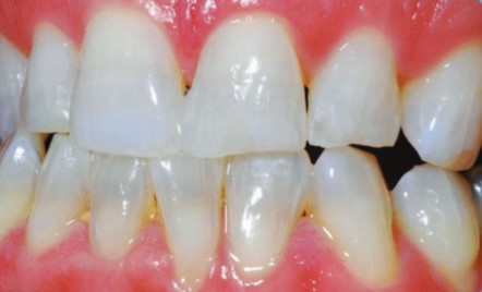
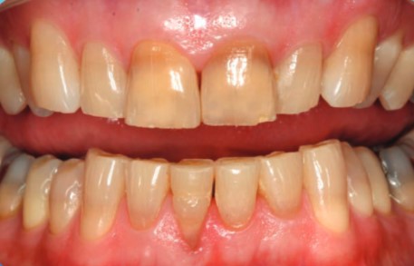
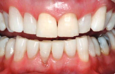
Restore The Vitality Of Your Smile
There is a difference between "white" teeth and healthy looking teeth. Standard treatments often leave teeth looking flat or chalky. As you can see here, the KöR system does more than bleach the surface; it clears the internal structure of the tooth.
The result is a return to natural translucency and light reflection. We aren't just changing a shade guide number; we are restoring the youthful, vibrant character of your smile.
Excellence Without Compromise
Dr. Pate utilizes the KöR system because it is the only method that aligns with our standard of care: scientifically superior, biologically safe, and undeniably effective. Elevate your expectations and finally achieve the smile you have been waiting for.
Browse

Hope For Every Smile
Ready to get started on your dream smile? Contact Hope Dental Professionals today for a consultation!




